Scanningsbilleder 10. Marts
944 visninger
|
Oprettet:
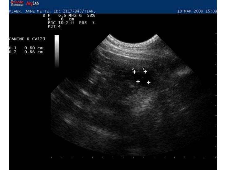
Tiahs scanningsbilleder fra idag af. Foerste scanning. Hun er 25. dagen fra foerste parring og 20. dagen for sidste. Fosterblaererne er stadig meget smaa kun omkring 1cm lange saa jeg tror jeg skal regne fra sidste parring for at faa det mest noejagtige resulat.

Scanningsbilleder 10. Marts
nov 2004
Følger: 42 Følgere: 42 Hunde: 2 Emner: 10 Svar: 76