{{ getTotalHits() | thousandNumberSeperatorFilter }} resultater Filter
{{group.groupName}}

{{ group.groupName }}

Medlemmer: {{group.memberCount}}
Forside Forum Medlemmer Annoncer {{ group.itemMoreItems }}
Handyhand

Få billig hjælp fra private

Beskriv din opgave og modtag gratis bud fra lokale med Handyhand.

Seneste udførte opgaver

  • Removal of mattress and Bed frame - already dismantled. 700 kr.
  • Ophæng af: gardinskinner, 2 x tv, væghængt vasketøjs-kasse 1.500 kr.
  • Opsætning af loftslamper 600 kr.
  • Samling af møbler 1.200 kr.
  • Udendørs lampe re-montering 800 kr.
  • Murer arbejde 3.800 kr.

Opret en opgave

Kommentarer på:  HD - gæt hofterne
  • Maria B
    Maria B Tilmeldt:
    maj 2008

    Følger: 3 Emner: 6 Svar: 66
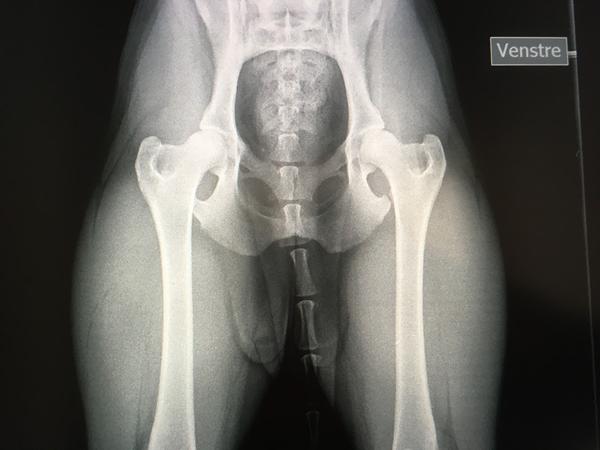
    #1   7. jun 2017 Her er lige et billede mere smiley

    profilbillede
  • #3   7. jun 2017 Ligger hunden ikke helt forkert? Benene skal være i en anden position for at DKK godkender dem, tænker jeg.

  • #4   7. jun 2017 Hvem Søren har taget de billeder?
    Benene skal ligge lige ned og parallelt.


  • #5   7. jun 2017 Siden du i sidste måned oprettede et indlæg omkring en mops med HD, så 'gætter' jeg på at billederne er af den mops.

  • #7   7. jun 2017 Se halen - jeg tænkte faktisk mops smiley

    De billeder er helt forkert taget - og ud fra dem er hofterne ikke gode.

    Men det er jo umuligt at vurdere, når billederne ikke er korrekte.


  • Kennel Hearthitter
    Kennel Hearthitter Tilmeldt:
    apr 2012

    Emner: 1 Svar: 153
    #9   7. jun 2017 Det er så beviset på at ikke enhver dyrlæge er i stand til at tage HD billeder.
    Jeg er ret nysgerrig om det er dyrlægen der har bedømt billederne, eller om det er DKK, for jeg kan ikke i min vildeste fantasi forestille mig DKK godkende de billeder, med en hund der ikke ligger rigtigt.


  • Kennel Hearthitter
    Kennel Hearthitter Tilmeldt:
    apr 2012

    Emner: 1 Svar: 153
    #10   7. jun 2017 Hunden skal ligge på denne måde, og det trænede øje vil kunne se at det her er A hofter.
    Bedømt hos DKK


    profilbillede
  • Lars N
    Lars N Tilmeldt:
    nov 2008

    Følgere: 7 Hunde: 2 Svar: 435
  • #12   7. jun 2017 Hvis det er det bedste hunden kan strækkes ud, så er der enten noget galt med dyrlægen eller hunden.
    Hofterne ser også skidt ud smiley


  • Kennel Hearthitter
    Kennel Hearthitter Tilmeldt:
    apr 2012

    Emner: 1 Svar: 153
    #13   7. jun 2017 Hunden burde nok kunne lægges mere korrekt end det der i hvert fald.
    Også selvom den skulle være løs.
    Løshed kan desuden strammes op over tid, ved brug af C-vitamin og afstemt foder.
    Hvis der er tale om en reklamation, må man jo så se om DKK vil godkende de billeder, selvom hunden er fejllejret og der ikke er bestilt rekvisition.


  • #14   7. jun 2017 Jeg er meget enig, hunden ligger helt forkert og skævt og sikke dog nogle mørke og uskarpe billeder?!
    Og jeg er enig i at det ikke er pæne hofter, men om det er fordi billederne er dårlige, det ved jeg ikke.
    Ærgerligt at du har betalt for det der.


  • Maria B
    Maria B Tilmeldt:
    maj 2008

    Følger: 3 Emner: 6 Svar: 66
    #15   7. jun 2017 Mops er rigtigt smiley

    Det er dyrlægen der har vurderet billederne og har vurderet til D hofter.

    Hun skal ha' taget nye billeder om 6-8 måneder smiley
    Netop fordi hun kun er 12 måneder, og det kan nå at ændre sig.


  • Kennel Hearthitter
    Kennel Hearthitter Tilmeldt:
    apr 2012

    Emner: 1 Svar: 153
    #16   7. jun 2017 Så skal du nok finde en anden og bedre dyrlæge til at lave dem.


  • #18   7. jun 2017 Ikke så meget gæt over det hvis det stod i en tidligere tråd.

  • Maria B
    Maria B Tilmeldt:
    maj 2008

    Følger: 3 Emner: 6 Svar: 66
    #19   7. jun 2017 Det skal lige siges at 3 dyrlæger har kigget på billederne (uden at nævne de er dårlige O.o)
    Og har også mærket på hende, og ud fra det vurderet D hofter.

    Jeg har snakket med flere og er blevet frarådet at sende dem til DKK. Netop fordi de kun kan se på billederne, og ikke mærke på hunden.


  • #20   7. jun 2017 Isabelle - man tjekker bare brugerens tråde - og hopla!

  • Kennel Hearthitter
    Kennel Hearthitter Tilmeldt:
    apr 2012

    Emner: 1 Svar: 153
    #21   7. jun 2017 Sikke da noget sludder omkring ikke at sende til DKK.
    Hunden har den status den har, uanset om man har mærket på hunden eller ej.
    Men det kræver altså at hunden ligger ordentligt for at få den rette bedømmelse.
    Når hunden ligger som den gør, kan det alene være nok til at hofterne ser værre ud end de reelt er.

    Når man alligevel tager billederne så kan man ligeså godt sende dem til DKK. Jo flere der gør det, jo bedre er muligheden og overskueligheden i at se sundheden i racen.


  • #22   7. jun 2017 Hvis hunden er DKK skal billeder til DKK, færdig.
    Sådan et resultat skal ikke gemmes væk uden om hundeweb. Og det er alligevel også DKK der skal hjælpe med at hive erstatning fra opdrætter hjem.
    Så bestil en rekvisition og få så en bedre dyrlæge til at tage nye billeder.


  • Maria B
    Maria B Tilmeldt:
    maj 2008

    Følger: 3 Emner: 6 Svar: 66
    #23   7. jun 2017 Jeg kan ikke rigtig lave forløbet om nu.
    Hun er tjekket af 3 dyrlæger - blandt andet Faxe.

    Vi får taget nye billeder om 6-8 måneder, og de ryger til DKK.
    Har i nogle erfaringer med en god dyrlæge på Sjælland til at tage de billeder? smiley


  • #24   7. jun 2017 Faxe ..

  • #25   7. jun 2017 Er det ikke sådan, at man ikke betaler for bedømmelse hos DKK hvis hunden har ringere status end C ?

  • #26   7. jun 2017 Halen og skæve ben = mops smiley

    Jeg ville have gættet på C hofter.


  • #27   7. jun 2017 Altså - har jeg fuldstændig misforstået noget? For at få taget HD-billeder til DKK får man rekvisition før man tager billederne og så bliver de "automatisk" sendt til DKK. Det er jo ikke noget man vælger til eller fra bagefter.

    Kvaliteten af billederne ligner ikke noget DKK ville godkende, synes jeg.




  • #28   7. jun 2017 Man kan også bare få taget HD-billeder uden rekvisition .. "prøve-billeder" så man er sikker på, at de ikke bliver sendt til DKK, hvis de ikke er gode ..

  • #29   7. jun 2017 Billederne her har heller ikke været sendt til DKK smiley
    Det bliver de næste - super godt TS!


  • #30   7. jun 2017 Jep, man kan få taget dem udenom DKK, men jeg tænker ikke man kan få dem taget og sendt dem ind til DKK bagefter uden forudgående rekvisition.


  • #31   7. jun 2017 Det kan man heller ikke. Det er enten eller, ikke noget man kan vælge til eller fra efter at billederne er taget.

  • #32   7. jun 2017 #30

    Det mener jeg heller ikke man kan.


  • #33   7. jun 2017 Det giver vel osse god mening. Ellers kan man jo bare låne bedre billeder og sende ind.

  • #34   7. jun 2017 Det er rigtigt, at der var engang, hvor man ikke betalte - eller snarere fik pengene igen fra DKK - ved billeder af dårlige hofter D og E, Simpelthen for at få folk til også at sende de billeder ind, hvor dyrlægen kunne se, at hofterne var dårlige. En forsøg på at få det fulde billede for racerne og ikke kun de bedste resultater.

    Men det er fortid. Nu hvor man køber rekvisitionen inden fotografering, har man forpligtet sig til at billederne kommer til DKK uanset, hvordan resultatet er.


  • Maria B
    Maria B Tilmeldt:
    maj 2008

    Følger: 3 Emner: 6 Svar: 66
    #35   7. jun 2017 Jeg skal ha' taget nye billeder af hende om 6-8 måneder, og der bestiller jeg rekvisition hos DKK og får taget billederne et ordenligt sted.

  • #36   7. jun 2017 Fornuftigt, Maria

  • Maria B
    Maria B Tilmeldt:
    maj 2008

    Følger: 3 Emner: 6 Svar: 66
    #37   7. jun 2017 Kender i nogle dyrlæger på Sjælland der er gode til røntgen billeder?
    Vi har tydeligvis været uheldige med dem her smiley


  • #38   7. jun 2017 Kan se du bor i Storkbh. Jeg ville vælge Engelhardt hos Værløse.
    Det er nødvendigt at hunden ligger ordentligt


  • Maria B
    Maria B Tilmeldt:
    maj 2008

    Følger: 3 Emner: 6 Svar: 66
    #39   7. jun 2017 Det kigger jeg lige på - tak smiley
    Så i teorien er hendes hofter måske ikke så slemme som først antaget?
    Hun ligger måske bare forkert smiley


  • Kennel Hearthitter
    Kennel Hearthitter Tilmeldt:
    apr 2012

    Emner: 1 Svar: 153
    #41   7. jun 2017 Buddinge har taget det billede jeg har lagt op. De kan snildt tage pæne billeder.
    Faxe er også gode, dog dyre, som Karlslunde også.



  • #43   7. jun 2017 Inden du går i panik over dårlige hofter, vil jeg bare sige at, mig bekendt, så har rigtig mange mops dårlige hofter, men de bliver sjældent påvirket af det.
    De løse hofter er årsag til den vraltene gang mops har.



  • Maria B
    Maria B Tilmeldt:
    maj 2008

    Følger: 3 Emner: 6 Svar: 66
    #44   7. jun 2017 Anne Julie F: Det er jeg glad for at hører.
    Maggie er på ingen tænkelig måde påvirket af det. Det var en kliklyd hun havde fra bagpartiet der fik os til at få hende HD tjekket.
    Men nu tager vi vores forholdsregler, og holder hende slank, giver kosttilskud og svømmer med hende smiley
    Og så får vi en revurdering om 6-8 måneder.


  • #45   7. jun 2017 Hvis hofterne siger klik skal det naturligvis tjekkes, for det bør de trods alt ikke. Det var bare for at sige at du behøver sige farvel til din basse endnu.

    Held og lykke. smiley


  • Maria B
    Maria B Tilmeldt:
    maj 2008

    Følger: 3 Emner: 6 Svar: 66
    #46   7. jun 2017 De fandt ud af at kliklyden ikke kom fra hofterne, men fra korsbenet.

  • #47   7. jun 2017 Jeg har også brugt Værløse i mange mange år til lige nøjagtig HD- og AD billeder...... Men om Ib stadig praktiserer, ved jeg ikke?

  • Maria B
    Maria B Tilmeldt:
    maj 2008

    Følger: 3 Emner: 6 Svar: 66
    #49   8. jun 2017 Carina - er de godkendt til at tage DKK billeder?

  • Maria B
    Maria B Tilmeldt:
    maj 2008

    Følger: 3 Emner: 6 Svar: 66
    #51   8. jun 2017 Super smiley
    Kender du priserne på det?


  • Kennel Hearthitter
    Kennel Hearthitter Tilmeldt:
    apr 2012

    Emner: 1 Svar: 153
    #53   9. jun 2017 Det er omkring 1800 kr.. Det afhænger nok også af størrelsen tror jeg.

  • #54   9. jun 2017 Jeg ville også sige D til de billeder der - og ærligt - tror jeg ikke nye billeder vil ændre det. De er løse.

    Men synes du skal gøre forsøget.

    Jeg ville tage ned til Ken på Faxe - udover han tager billeder og vurderer, går han også hunden igennem og har meget kvalidiceret bud på hvad hofterne vil betyde for hunden på sigt.




  • Kennel Hearthitter
    Kennel Hearthitter Tilmeldt:
    apr 2012

    Emner: 1 Svar: 153
    #55   9. jun 2017 Hov min pris inkluderer spondbilleder også.
    Mon ikke det ligger på 1500 kr eller sådan noget så..


  • Maria B
    Maria B Tilmeldt:
    maj 2008

    Følger: 3 Emner: 6 Svar: 66
    #56   9. jun 2017 Tak smiley
    Vi har været på Faxe og fået vurderet de her billeder (de sagde ikke noget om at billederne var dårlige)
    Og de har mærket på hende.
    Men ville ikke udtale sig om noget.


  • Kennel Hearthitter
    Kennel Hearthitter Tilmeldt:
    apr 2012

    Emner: 1 Svar: 153
    #57   9. jun 2017 Det er klart de ikke siger billederne er dårlige. Det er jo et dårligt signal at kritisere en kollegas arbejde. Og måske netop fordi billederne er så ringe, kan de ikke udtale sig omom det er godt eller skidt.

  • Maria B
    Maria B Tilmeldt:
    maj 2008

    Følger: 3 Emner: 6 Svar: 66
    #58   9. jun 2017 Men burde han så ikke ha' forslået at tage nye billeder?
    Han mærkede jo også på hende.
    Hev i hendes bagben, frem og tilbage og han sagde endda at han kunne hive hofterne ud af skålen. Men jeg tvivler dog lidt på det, da hun slet ikke var bedøvet eller noget, og hun sagde ikke en lyd - hun stod bare og halvsov.
    Tænker at hvis han havde hevet hofterne ud af skålen mens hun var ved fuldt bevidsthed, så havde hun skreget smiley


  • Kennel Hearthitter
    Kennel Hearthitter Tilmeldt:
    apr 2012

    Emner: 1 Svar: 153
    #59   9. jun 2017 Ken er til dels ligeglad med hvordan røngten billederne ser ud. Hunden går ikke på dem, men på sine ben.
    Og det vil ikke give mening at tage nye billeder før om 6 mdr og løsheden måske har fortaget sig.


  • Maria B
    Maria B Tilmeldt:
    maj 2008

    Følger: 3 Emner: 6 Svar: 66
    #60   9. jun 2017 Vi venter 6-8 måneder smiley

  • #61   10. jun 2017 Så vil jeg råde jer til at få styrket hundens hofter i den mellemliggende tid smiley

  • Kennel Hearthitter
    Kennel Hearthitter Tilmeldt:
    apr 2012

    Emner: 1 Svar: 153
    #62   10. jun 2017 Badesæsoner startet så ud og svømme..
    For mere intensiv træning kan vandløbebånd anbefales..


  • Maria B
    Maria B Tilmeldt:
    maj 2008

    Følger: 3 Emner: 6 Svar: 66
    #63   10. jun 2017 Hun er ikke glad for at svømme - det er prøvet et par gange.
    Men hun kan godt lide at løbe i vandkanten på stranden smiley
    Er der andre muligheder for at få styrket hendes hofter?


  • #64   10. jun 2017 Hvis du vælger at træne i vandkanten, så husk at gå både frem og tilbage i vandkanten.
    Altså lige længe for hver side.
    Vandkanten skråner og går man kun den ene vej i vandkanten bliver der noget ubalance i muskeludviklingen...

    Waterwalker virker oplagt.


  • #65   10. jun 2017 Som CH siger.
    Hunden skal GÅ, ikke løbe. Rolig gang i knæhøjt vand er muskelopbyggende.


  • Maria B
    Maria B Tilmeldt:
    maj 2008

    Følger: 3 Emner: 6 Svar: 66
    #66   10. jun 2017 Det husker jeg. Hun går heller ikke længere ud end knæene smiley
    Hvor lang tid af gangen skal man gøre det? Og hvor ofte?


  • Hunden
    Hunden Tilmeldt:
    jan 2013

    Følger: 1 Emner: 8 Svar: 489
    #67   10. jun 2017 Maria: kan din dyrlæge ikke komme med nogle råd og vejledning samt hjælp til denne træning? Tænker det er super at HG hjælper, men en fagperson kan måske komme med råd der passer præcist til din hund.



  • Maria B
    Maria B Tilmeldt:
    maj 2008

    Følger: 3 Emner: 6 Svar: 66
    #69   11. jun 2017 Dyrlægen siger svømning. Men ikke hvor meget eller hvor tit.
    Så jeg tænkte jeg ville hører om nogen havde været igennem samme forløb, og dermed havde erfaringer smiley


  • Kennel Hearthitter
    Kennel Hearthitter Tilmeldt:
    apr 2012

    Emner: 1 Svar: 153
    #70   11. jun 2017 Den må sådan set gerne gøre det hver dag, bare den ikke overbelastes..

  • Maria B
    Maria B Tilmeldt:
    maj 2008

    Følger: 3 Emner: 6 Svar: 66
    #71   11. jun 2017 Okay smiley
    Men tænker også mere om en gang om ugen er nok?


  • #72   11. jun 2017 En gang om ugen gør ingen forskel.

    Det skal gøres ofte, men ikke så meget ad gangen til at starte med. Siden kan man øge belastningen både ved at gå en smule længere ud og ved at øge afstanden.

    Men du skal mindst gå 3-4 gange om ugen før det giver mening i forhold til muskeldannelse.


  • Kennel Hearthitter
    Kennel Hearthitter Tilmeldt:
    apr 2012

    Emner: 1 Svar: 153
    #73   11. jun 2017 Enig med CH.
    1 til 2 gange ugentligt er bare for fornøjelsens skyld og giver intet.
    Var det min blev det hver dag måske med 1 ugentlig fridag. Og længere og længere tid.


  • Maria B
    Maria B Tilmeldt:
    maj 2008

    Følger: 3 Emner: 6 Svar: 66
    #74   11. jun 2017 Men waterwalk er bare ret dyrt. Og især hvis det skal være hver dag smiley
    Jeg er pt arbejdsløs, så det har jeg slet ikke råd til. Og jeg bor på ingen måde i nærheden af vandet, så at komme til stranden hver dag bliver heller ikke nemt.

    Er der ingen andre måder at bygge muskler op i hofterne?


  • Kennel Hearthitter
    Kennel Hearthitter Tilmeldt:
    apr 2012

    Emner: 1 Svar: 153
    #75   11. jun 2017 Cykling. kun i trav og bygge langsomt op uden overbelastning,

  • #76   11. jun 2017 Waterwalker behøver man ikke at bruge hver dag.

    Som genoptræning er det fint 1-2 gange om ugen. Fordelen ved den er, at man får trænet de helt præcise muskelgrupper og man kan styre belastningen fuldstændig.

    Det står under alle omstændigheder ikke alene - træning skal til hele ugen igennem, men al træning behøver ikke at være i waterwalkeren overhovedet.

    Det er når det er i vandkanten, det skal være meget oftere.


  • Maria B
    Maria B Tilmeldt:
    maj 2008

    Følger: 3 Emner: 6 Svar: 66
    #77   11. jun 2017 Men hvis man skal træne andre ting i hverdagen, hvad kan det så være?
    Kan det være ting som ikke er i vandet?


  • Kennel Hearthitter
    Kennel Hearthitter Tilmeldt:
    apr 2012

    Emner: 1 Svar: 153
    #78   11. jun 2017 Så kan du kigge på CORE øvelser til hund.
    Til det kan du bruge en fitness bold bl.a


  • Hunden
    Hunden Tilmeldt:
    jan 2013

    Følger: 1 Emner: 8 Svar: 489
    #79   11. jun 2017 Ja, der findes andre træning former.

    Men tænker at det er bedst at få råd og vejledning ved en dyrlæge eller veterinærsygeplejerske med speciale i genoptræning / fysioterapi. Der vil helt klart være god hjælp at hente.


  • #80   11. jun 2017 Lea Ny på Københavns Dyrehospital er en knalddygtig fysioterapeut. Måske det var en ide at kontakte hende og få råd til træningsmetoder, som kan klares hjemme?

  • #81   11. jun 2017 Jeg ville faktisk få tid hos Frigast.. hun har jævnligt tider på Poppelstykket .. hun er ikke mega dyr, OG hun vil kunne hjælpe med gode øvelser, som vil styrke hunden.

  • #82   11. jun 2017 Frigast og Lea arbejder godt sammen smiley Jeg bruger dem begge. Og de snakker sammen, så jeg ikke skal være mellemled smiley

  • Maria B
    Maria B Tilmeldt:
    maj 2008

    Følger: 3 Emner: 6 Svar: 66
    #83   11. jun 2017 Jeg prøver at tage kontakt til en af dem og få sat et træningsforløb igang smiley
    Tak for alle de gode råd smiley


  • Maria B
    Maria B Tilmeldt:
    maj 2008

    Følger: 3 Emner: 6 Svar: 66
    #85   12. jun 2017 Tak for godt råd smiley

    Jeg har kigget lidt på FitPaws produkterne - kunne man evt bruge dem til noget træning?


  • #86   12. jun 2017 Jep og her kan Frigast igen hjælpe.. både med billigere løsninger og hvordan de bruges smiley

  • Maria B
    Maria B Tilmeldt:
    maj 2008

    Følger: 3 Emner: 6 Svar: 66
    #87   12. jun 2017 Jeg har kontaktet hende smiley

Kommentér på:
HD - gæt hofterne

Annonce